
What are the different habits that are in children?
The most common are thumb sucking, mouth breathing, tongue thrusting; lesser common are finger/ nail biting, lip biting or trapping.
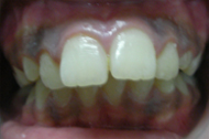
What are the deleterious effects of these habits?
If the habits are not controlled at the stage of milk teeth, permanent teeth gets affected. There may be aberrant development of jaws. These changes may necessitate the orthodontic treatment for the child.
| Habit | Thumb sucking/ Tongue thrusting | Mouth breathing |
| Effect | ![]() |
|
| Appliances | ![]() |
![]() |
What are habit breaking appliances?
These are appliances that are used to combat the above deleterious habits in children. They can be either a fixed or removable type
Is there any ideal age when these habits can be corrected?
No. whenever the habit is first noticed it is better to consult. We take in to consideration the age of the child, the effects already present, possible any other reason for the habit and suggest an appliance therapy accordingly, if required.
Is there any common cause for these habits?
One can probably assume that there may be some kind of psychological disturbance in the child's mind. This must be identified and rectified at an earlier stage whenever possible.
Some habits develop due to anatomical deviation. As blocked nose due to recurrent cold or deviated septum can force the child from mouth and thus the habit of mouth breathing develops.



