
A bridge is a type of fixed prosthesis that replaces the missing tooth / teeth. This procedure is used when teeth adjacent to the lost tooth are structurally strong and periodontal sound to support the missing tooth. The teeth used to support the false tooth (called Pontic) are known as Abutments.
What are the types of material used for bridges?
- Full metal: These are made of base metal alloys and are silver or dark in colour. These bridges can be made in precious metal alloys, but the cost of bridge goes up substantially.
- Porcelain-fused-to-metal (PFMs): PFMs have a metal coping on which porcelain is fused in a high heat oven. The metal provides strong compression and tensile strength, and the porcelain gives a white tooth-like appearance. The metal coping could be of base metal alloy or precious metal alloy. Only, disadvantage of these bridges is that sometimes a grey margin is visible near the gums of abutments.
- Metal free ceramics: When no grey margin is desired, we recommend metal free or white metal bridges. Different materials available in this are silica reinforced, alumina or zirconia. These are made by using CAD/CAM technology. Long span bridges are best made in zirconia.These are as strong as PFMs or full metal crowns and are aesthetically much more superior and pleasing.
- Acrylic bridge: these are generally temporary bridge used to restore the function and aesthetic until the final prosthesis is processed or planned.

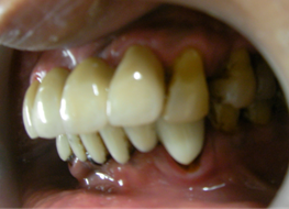
![]() Full Metal Bridge
|
![]() Metal-free Ceramic Bridge
|
What is the procedure for making a bridge?
Step 1: Case selection and treatment planning:
When restoring an edentulous area with a bridge, the bridge is usually restoring more teeth than there are root structures to support. As In case of 3-unit Bridge for single missing tooth, will only be supported on two abutment teeth. These two abutments should be strong enough to take the additional load of missing tooth. An x-ray of abutments and in general periodontal health of patient help us to determine, should we go for bridge. It goes for the structural integrity of abutments, so that they can bear the tensional forces that may develop during the normal chewing activity.
In some situations, a cantilever bridge may be constructed to restore an edentulous area that only has adequate teeth for abutments either mesially or distally.
Step 2: Tooth preparation:
Under local anaesthesia, abutment teeth are prepared by reducing it from all sides making space for the material. As with preparations for single-unit crowns, the preparations for multiple-unit bridges must also possess proper taper and the parallelism of all abutments to facilitate the insertion of the prosthesis onto the teeth. A severe inclined tooth may necessitate the use of precision attachment for proper seating and functioning of bridge. A dental impression of prepared teeth is taken to form a cast or model of your tooth.
This impression or cast goes to the laboratory to fabricate the final bridge. A temporary bridge is placed on the prepared teeth in the same sitting or the next day. There may be one or two visits involved for checking the fit and colour of the bridge. When you are satisfied with the colour and we are satisfied with the fit and occlusion of bridge, it is sent for final polishing or glazing.
Step 3: Final cementing of bridge:
Generally no anaesthesia is required at this sitting. Temporary bridge is removed and final bridge is cemented on the prepared teeth using luting cements. You are advised not to eat for few hours.
How to take care of your bridges?
- Bridge become part of your mouth after luting. You should continue with your daily oral hygiene instructions as brushing and flossing.
- If we have given you modified pontic, you may be advised to use interdental brush or floss under the pontic to keep it clean.
- You may be instructed to avoid food that sticks to the tooth and can pull the bridge out.
- If the bridge comes out, you should visit a dentist at the earliest to cement it back on teeth.
- A properly maintained bridge can give a service of 10yr. plus in your mouth.
Summarizing the bridge:
- FIXED BRIDGE replaces one or more missing teeth, supported by teeth on one or both sides. Each adjacent tooth is prepared to receive full crowns or caps.
- When completed, the bridge is cemented into position over the supporting abutments.
- Very good as the efficiency of it, is about 80% of your natural tooth.
- Healthy enamel of adjacent teeth has to be sacrificed to get a good support and esthetics.
- The lost dental root is not replaced, making the disappearance of jawbone inescapable.
On the other side of the spectrum, bridges made of metal free ceramics are another potent option. These bridges are made of porcelain, high strength glass or white metal. They are cosmetically superior but may not be as strong as metal bridges.
![]() |
The last type of bridge is the porcelain fused to metal bridge. This type of bridge combines the aesthetic quality of metal free ceramics and the durability of metal bridges. These bridges however may show the metal portion as a greyish line on the gingiva or gums, lowering the cosmetic value of the bridge. |
A more modern alternative to bridges are implants. Implants are titanium posts that are inserted into the jawbone surgically. These posts serve as foundations for replacement teeth, which when attached to the posts look and function like natural teeth. Implants can be used for single teeth or multiple teeth including full mouth rehabilitation.



