
Crown lengthening is a surgical procedure performed to expose a greater height of tooth structure by removing some of gums and/or bone around the neck of tooth.
When one needs to undergo crown lengthening procedure?
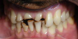
- Height of the tooth is less than required for retention of a crown.
- There is no ferrule achievable for a crown in badly broken down endodontically treated teeth.
- Sub gingival caries that need to be restored with composite.
- Fractured tooth near the gum line.
- During smile designing therapy, when we have to improve the symmetry, shape and zenith of gum tissue.
- Gummy smile, when the primary reason is incomplete eruption of teeth.
- Cases requiring resective periodontal therapy, when we establish a cleanable, healthy periodontal tissue.
- To restore the height- width ratio of teeth as per golden ratio.
![]() Before
|
![]() After
|
![]() Before
|
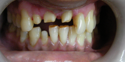
![]() After
|




