
The 2 most common options for braces are metal and ceramic. We take in to consideration the requirements of treatment plan, patient’s social interaction and personal preference, before advising any one of these.
|
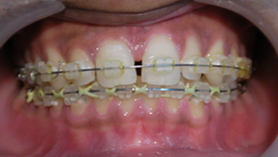
Metal Brackets:
Metal brackets look silver in colour and are less expensive than other types of brackets. These are very strong and can withstand most types of treatment. At first they may irritate your gums, but after a few weeks, when your cheeks and lips get keratinized or tough, they are not a problem anymore. Most traditional metal braces require an o-shaped rubber band, called a ligature to hold the arch wire onto the bracket. If you want to add colour to your braces, you can ask for coloured ligatures. We use small metal brackets that are glued to the front of each tooth and not the older method of putting bands on each tooth. The bands are usually reserved for molars or teeth with big fillings.
|
![]() |
|
Ceramic Brackets:
Ceramic brackets are made of composite or porcelain. They are very strong and generally do not stain, break or come off your teeth. They blend in with most teeth and so are not very noticeable at a distance. They are more comfortable than metal and irritate your gums less.
The clear or white ligatures can stain, but those are changed at every monthly visit. These are usually more expensive than traditional metal brackets and are a bit larger than metal brackets. |
![]() |
Kindly, feel free to contact us to discuss the best option for you.


