Splinting of teeth involve binding of loose or traumatized tooth to the adjacent firm teeth. This is like splinting a broken arm in a plaster, where the immobility forced on the loose tooth helps the periodontal tissue to heal. Post orthodontic treatment, sometimes a permanent splint is place on the lingual surface from canne to canine, if patient is not able to use retention plates.
What is the Rationale of splinting teeth?
|
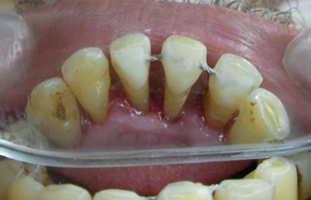
Periodontally weak teeth:
|
![]() |
![]() |
Orthodontics:
|
Implant:
- As a temporary Maryland type bridge in the smile zone.
After tooth injury:
- This range from 1 wk to 3 mths, depending upon the severity of trauma. Basically, to allow healing of periodontal tissue.


