dental-implants

natural-n-implant-tooth

What are implants?

Implants are small posts made from most bio-compatible material that is titanium. These posts are surgically place into the jawbone. These posts serve as anchorage or foundation for replacing teeth, which when attached to the posts look and function like natural teeth. Teeth implants are used to replace a single or multiple lost teeth, while providing the most natural feeling to the individual.

Different parts of an Implant prosthesis:

  1. The implant: which is made of titanium, is placed in the upper or lower jawbone.
  2. The abutment: it can be made of titanium, gold or porcelain. It is attached to the implant with a screw. This part connects the implant to the crown.
  3. The restoration:  This is what one sees in his/ her mouth.
    1. For single missing tooth it is a crown,  usually made of porcelain fused to a metal alloy (PFM), but also could be an full metal or porcelain crown.
    2. For multiple adjacent missing case, it is a bridge made of PFM, full metal or porcelain.
    3. For all missing teeth: it could be an removable overdenture or fixed bridge.

What are the advantages of implants?

Implants offer an effective way for individuals to replace lost or missing teeth. They provide strong structural support to the false teeth, preventing any movement of the false tooth during speaking and eating unlike the traditional dentures. They are the most potent form of tooth replacement technology providing a great deal of comfort and confidence to the individual. In addition implants unlike bridges do not rely on adjacent teeth; this prevents the adjacent teeth from being affected or reduced for crowns.

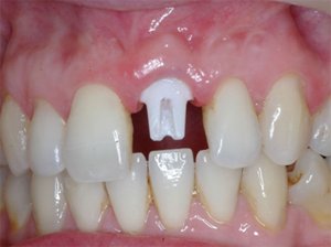
img1 img2
Different parts of regular tooth implant Single tooth and implant supported bridge
img3 img4
Implant supported overdenture Implant supported bridge

img5

Fixed supported full mouth rehabilitation
img6 img7
Natural emerging profile of implant Bone forms a bond with dental implants
Being a biocompatible material, body accepts it as one of it's part and in a short period it is ready to take up full load of your bite. It is a fixed teeth solution, ranging from:

Why dental implants are equivalent to natures copy?

Dental implants are effective replacement for the lost tooth. Good quality Jaw Bone and stable systemic health are important considerations before planning dental implants. A dental implant is surgically inserted beneath the gum into the bone. In a few months, when the dental implant are fused to the surrounding bone, the artificial crown/s are attached to the abutment portion of implant fixture.
  • As it anchors in the jaw bone, dental implants form a stable foundation for permanent attachment of the crown.
  • Grinding of adjacent teeth doesnot take place.
  • Loss of bone tissue by atrophy is prevented since implants as "artificial dental roots", transmit the chewing forces in to the jaw bone.

Dental Implants Procedure

There are generally 2 protocols that are followed:

  1. Two stage protocol: In this traditional method of placing an implant, the shortest time frame for a complete implant (including surgeries and placing the permanent crown) is about 5 to 6 mths. More if we need to built up the supporting bone.
    1. In this method, two surgeries are required. During the first surgery, an incision is made in the gum where the implant will be placed. A hole is drilled in the bone, the implant is placed into the hole in the bone, and the incision is stitched closed.
    2. At the end of the healing period, a second surgery takes place. It involves making a new incision to expose the implant. A collar, called an abutment, is screwed on to the top of the implant. The abutment is used to support the final prosthesis or restoration.
  2. One-stage protocol: It is now used in cases where we have good intial stability of implant. In this procedure, we can place the implants, and a temporary crown or bridge all in one visit. The permanent restoration would be placed after complete healing of bone and it varies depending on the specific implant system being used.

Initial consultation:

We will do a comprehensive examination. During the exam, we will review your medical and dental history, take X-rays, and create impressions of your teeth and gums so that models can be made. In some cases, we may order a CT or CBCT scan of your mouth. This scan will help us to determine how much jawbone is available to hold the implants in place, and will show the location of structures such as nerves and sinuses. If the X-rays show that your jaw does not have enough bone to hold an implant, we can discuss options, such as bone grafting and bone distraction, for building up the bone. This procedure can delay the implant placement for 5-6 mths in some cases, if we can not augment the implant with bone grafting material in 1st surgery.

First surgery — implant placement

The first surgery involves placing the implant or implants in your jaw. An incision is made in the gum where the implant will be placed. A hole is drilled in the bone, the implant is placed into the hole in the bone, and the incision is stitched closed. After the first surgery, we will wait four or six months, before placing a healing collar and/or temporary crown. During this healing time, the bone and the implants fuse.

Second surgery and placement of healing collar and/or temporary crown

Second surgery is scheduled after the x rays show good bone around the implant. An incision is made to expose the heads of the implants. A collar, called a healing abutment, is placed on the head of the implant after it is exposed. This encourages the gums to shape around the neck of tooth. The collar will be in place for 10 to 14 days.

After the stitches and collar are removed, final impressions are made. These impressions will be used to make models that will look exactly like your mouth. A dental technician will use these models to make the temporary and final crowns.

An abutment and temporary crown are placed on the implant. The abutment is screwed onto the implant and tightened. The temporary crown will be in place for four to six weeks. The gums will heal around it and will look like the gums around your natural teeth. The temporary crown is made of softer material than the permanent crown. The softer material helps to cushion and protect the implant from the pressure of chewing, and gives the jawbone the opportunity to gradually get stronger.

While you are wearing your temporary crown, the permanent crown will be made. The crown is either cemented or screwed to the abutment.

What are the types of implants?

From the final prosthesis prospective:

  1. Regular implants, used to replace single or multiple missing teeth.
  2. Overdenture implants, used to support dentures.
  3. Implant supported full mouth rehabilitation

From the shape, size and position of implant:

1. Root form implants: These are the most commonly used implants that are analogous to a cylinder or a screw. They are placed in the jawbone and are hence called endosteal implants. These implants are ideal for areas where the jawbone is deep and wide, providing a surface large enough for proper anchoring. The process for embedding these implants is the generic process described earlier.

2. Plate form implants: Plate form implants are typically used when the jawbone is narrow and/or not suitable for bone grafting. The implant is flat and long, suitable for a narrow jawbone. An anaesthetic is typically used to expose the jawbone and the implant is then placed into the bone. Plate form implants also require a longer healing period during which the bone develops around the implant naturally.

3. Sub-Periosteal Implants: As the name suggests this implant is not placed within the bone and is therefore sub periosteal. This type of implant is ideal for individuals have narrow jaw bones that cannot support endosteal plants. These implants can be placed using two types of techniques – single surgery and dual surgery. A single surgery procedure involves taking a CAT scan of the jaw bone and fabricating an implant based on the scan, while a dual surgery procedure involves manually taking an impression of the jaw bone and then fabricating the implant using the impression. Once the implant is ready, the jaw bone is exposed and the implant is fixed, followed by stitching of the gums and post operative care.

4. Transosseous Implant: A rare form of implant that is used for individuals who have little bone in their bottom jaw and now bottom teeth. The process for inserting this implant is complex, involving general anaesthesia, surgery and hospitalization. Due to the complex nature of the implant insertion process, this method is rarely chosen. The procedure finds application only with lower jaw implants and involves the insertion of two metal rods through the chin bone until they are visible at the gingival region. The method has a number of effective counterparts that can be performed without extensive surgery and are therefore preferred to this technique

5. Ramus-Frame Implant: This form of dental implant is used when a patient has a thin lower jawbone. This implant is fused to the jawbone in the back corners of the mouth, near the wisdom teeth. Once it is inserted a thin metal bar is visible around the top of the jaw, until the tissue heals. Dentures are then made to fit onto this bar. This implant typically helps prevent weak jaws from fracturing, thereby stabilizing them.

What are the Complications, one expect with implants?

In addition to the risks of surgery, there is the possibility of the implant failing. An implant can fail if an infection develops, which is very rare, or if you clench or grind your teeth. Clenching or grinding teeth puts a lot of pressure on the implant, which can cause bone loss, and can cause the implant to break.

You should be aware that when implants are used to replace lower teeth, a nerve that runs through the jawbone can sometimes be injured when the bone is being drilled or the implant is being placed. This can cause numbness or tingling. If this happens, it usually involves the lower part of the lip and chin or one side of the tongue. The numbness can be temporary, until the nerve heals, or it can be permanent. However, it is not common for the nerve to be injured.

In the upper jaw, there is a risk of drilling through the jawbone into one of your sinuses (located above your upper teeth) or nasal cavity, which could cause an infection.

Caring for Dental Implants

Tooth brush, interdental brush and dental floss are what you need to keep your dental implants strong and long lasting. It should be complimented with regular medical check-ups and visit to your dentist. After the successful healing, it's the quality of your oral and systemic health that decides the longivity of your dental implants.