
Bonding or Adhesive dentistry is a branch of dentistry which deals with adhesion or bonding of the adhesive material or cements to the natural substance of teeth, enamel and dentin.
What is it?
Bonding is the application of a tooth-colored composite resin (plastic) to repair a decayed, chipped, fractured or discolored tooth. Unlike veneers, which are made in a laboratory and require a customized mold to achieve a proper fit, bonding can be done in a single visit.
The theory behind bonding is to create micro mechanical tags in the calcified hard substance of enamel and dentine that help to retain a clear or tooth-colored resin material (a durable plastic material) on the tooth. A visible, blue light ultimately "bonds" the material to the tooth by initiating the hardening of material before any contamination of saliva.
Over the past 50+ years, dental bonding have evolved from no-etch to total-etch to self-etch systems. The evolution of products accompanied not only the improved physical properties but also the improved convenience for the patient and the dentist.
When it is Used or advised?
Bonding is among the most common dental procedures due to its wider applications. This technique has been used in cosmetic, operative, preventive, pediatric, prosthodontics, and orthodontics. It is used:
- To improve the appearance of a discolored or chipped tooth,
- To close spaces between teeth,
- To make teeth look longer,
- To change the shape or color of teeth,
- Bonding of indirect veneers on the teeth,
- Restorations or filling of teeth as an alternative to amalgam fillings,
- To reduce hypersensitivity of exposed roots, when gums recede,
- Placing orthodontic brackets on the teeth, it saves one from metal bands used before,
- Temporary cementing of Maryland type bridges,
- Permanent cementing of crowns and bridges
- Splinting of loose teeth
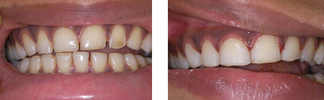
| Composite veneering of discolored teeth |
![]() |
| Closing of space between teeth |
![]() |
Does it require reduction of tooth?
No preparation is needed for bonding. Anesthesia often is not necessary, unless the bonding is being used to fill a decayed tooth.
What is the procedure?
- Color is decided by matching the templates with the same, adjacent or contra lateral tooth.
- Slight abrasion or polishing of tooth is done.
- Etched is used in some cases especially if the bonding is done with enamel.
- The tooth is coated with flowable liquid that engages the micro tags developed on tooth surface. It is cured with blue light.
- Depending on the shade and the size, different types of flowable or putty type resin material is used to build up the tooth or defect.
- Blue color light is used to cure and hardened the shaped material.
- final shape and polishing is done to give a glass type finish.
It usually takes about 30 minutes to an hour to complete the procedure.
What are the weak points of this method?
Though this is the least expensive procedure in comparison to other cosmetic procedures, but it do have it’s limitations, as:
- Tea, coffee, cigarette smoke and other substances can stain the resin.
- It can abrade under heavy forces
- It can chip under heavy loads as biting the nails, clenching, etc.


